Request Appointment
Trusted Local Dentist in Columbia City
(260) 248-4242
Our Offices
Columbia City Dentists
506 N Line St
Columbia City
,
IN
46725
(260) 248-4242
Home
Our Office
Patient Information
New Patients
Payments
Smile Gallery
Testimonials
Dental Videos
Videos
Our Doctor
Our Team
Services
Dental Cleanings
Dental Sealants
Emergency Treatment
Extractions
Fluoride Treatment
Laser Frenectomy
Night Guards
Oral Cancer Screening
Oral Exams
Pediatric Dentistry
Periodontal Treatment
Preventative Program
Root Canals
Sedation Dentistry
Sleep Apnea
Snoring Appliances
Sports Mouthguards
All-on-4®
All-on-6®
Crowns & Caps
Dental Bridges
Dental Fillings
Dentures
Implant Restorations
Inlays & Onlays
Botox®
Ceramic Crowns
Cosmetic Dentistry
Teeth Whitening
Veneers
Air Abrasion
Dental Lab
Digital Radiography
Invisalign®
Orthodontics
Dental Health
Contact
Contact Us
Request Appointment
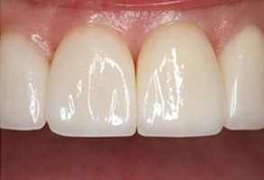
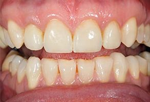
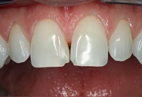
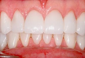
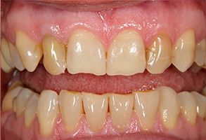
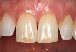
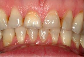
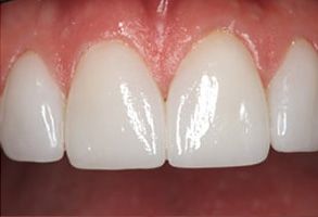
Dentistry Before and After Photos
Before
After
Before
After
Before
After
Before
After
Before
After
Before
After
Before
After
Our Offices
Columbia City Dentists
506 N Line St
Columbia City
,
IN
46725
(260) 248-4242
(260) 248-4242
© 2026 Columbia City Dentists. All Rights Reserved. |
Accessibility Policy
Dentist Website Design